受付を済ませた後は、院長とのカウンセリングでご希望を伺い、iPadなどを使ってホームホワイトニングの説明を受けます。
〈ホームホワイトニングとは…〉
ホワイトニングには、ホームホワイトニングとオフィスホワイトニングがあります。
特徴としては、以下のようです。
ホームホワイトニング…時間はかかるが自然な白さ
オフィスホワイトニング…短時間で済むが、若干白濁した感じの白さ(薬が強い)
*ホームホワイトニングとは、その言葉通り自宅で行うホワイトニングです。クリニックで自分専用のトレーを作り、自宅で歯磨きの後にそのトレーにホワイトニングのジェルを塗って装着します。毎日少しずつ歯が白くなっていきます。
開始1・2ヶ月間は1・2週間に1回チェックのため受診し、安定したら3~6ヶ月に1回定期受診となります。
今回は時間に余裕があるので、ホームホワイトニングを選択しました。
歯の表面がつるつるするので、プラークが付きにくくなるとも言われています。
さあ、ここからが“白い歯゛への道スタートです!
まずは歯科衛生士による歯のお掃除。
通常の超音波によるスケーリングに始まり、より自らの歯の白さを極めるためにプローフィーメイト ネオ(塩の細かい粒子クリーニングパウダーを吹きかけて着色を除去します)で磨き上げます。
その結果が…
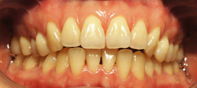
【お掃除前】
【お掃除後】
歯石もしっかり取れて、本来の白さがよみがえりました♪
次に、現時点でしっかりきれいにした歯の色をチェックします。
続いて、ホワイトニングのトレー製作のために型をとって、その日は終了です。
*****************
後日、完成したトレー。
さあ、結果は如何に?!
