ブログBlog

粘液嚢胞

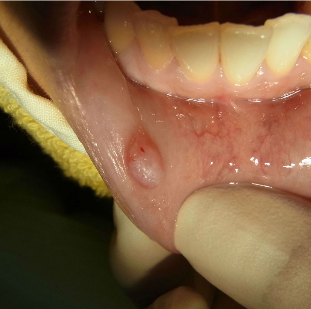
心配していた台風が、この地を去り、徐々に日差しが出てきました。 さて、以前口内炎のレーザー処置についてお話ししました。 口内炎は、とても気になる不快なものですが、お口の中で発生する様々な症状のひとつに粘液嚢胞というものがあります。 舌や舌の下(口腔底)、ほほの内側にできることもありますが、一番よく発生するのは下口唇です。 粘液嚢胞は唾液腺が出口をふさがれて、唾液がたまった状態で、特に痛みもなく小豆大ほどのふくらみになります。 自然に治ることもありますが、再発を繰り返すことが多いとも言われています。 粘液嚢胞 まず抜歯と同様に麻酔をします。そしてメスを使って摘出し、縫合して終了です。 とりました 1週間後に抜糸しました。 終了 発見し除去する際は、つぶさないようにして来院ください。
[`evernote` not found]