ブログBlog

改善します!思春期性歯肉炎

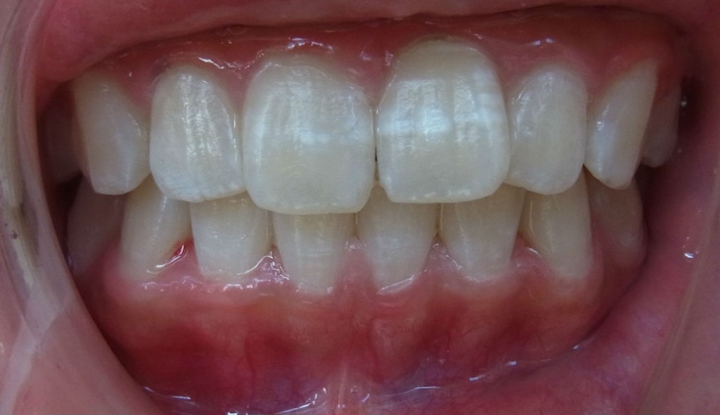
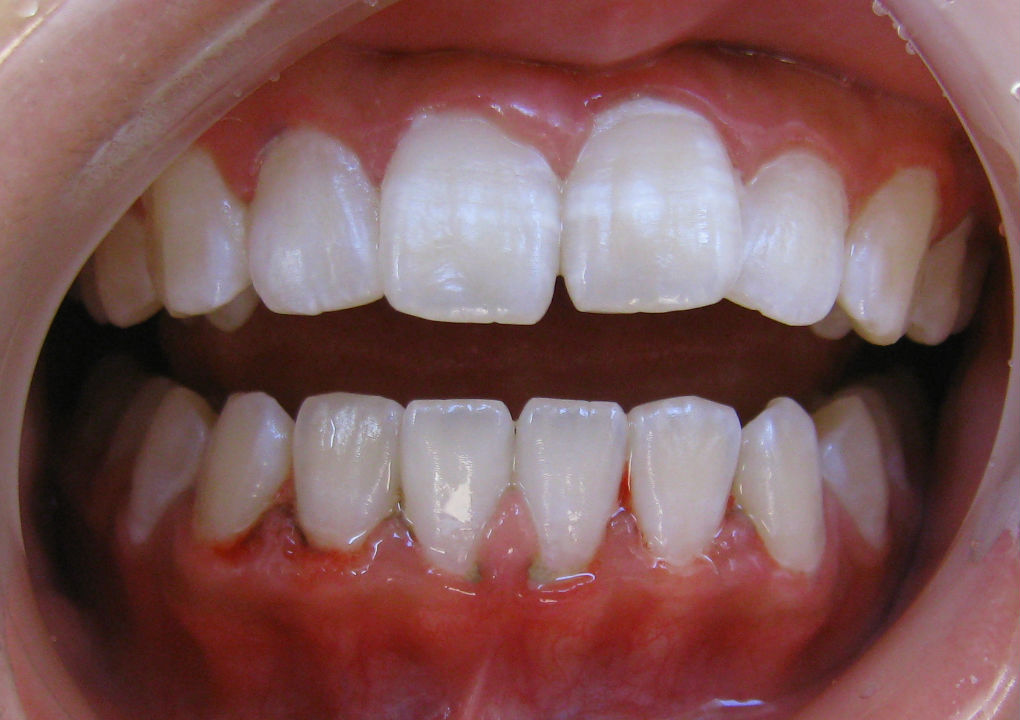
こんにちは、かよ歯科クリニック歯科衛生士の小池です。 歯科衛生士をやっていて嬉しいこと、それは患者さんのお口の状態が改善され、喜んでいただけることです。私が最近すごく嬉しかった高校生のSさんのお話です。 主訴(来院された原因)は、学校での歯科健診で『歯肉炎』と書いてある用紙をもらったということで、かよ歯科クリニックに初めて来院されました。 初めてということもあってか、顔はこわばり緊張した様子で不安気なSさん。 お口の中を診ると、歯石が多く付着し、歯ぐきもかなりブヨブヨしていました。 問診してみると歯みがきの際、歯ぐきから出血が起きるので「怖くて磨けない」とのこと。 ブラッシング指導前 まず、歯ぐき(歯周ポケット)を測定しました。ポケットの深さは3mmと深くないですが、測定時に出血が多くみられました。 歯ぐきの弱っているところ、歯石の付いているところを鏡でご本人に確認してもらい、普段のブラッシングをみせてもらいブラッシング指導へ。 歯みがきの必要性を話すと真剣に聞いてくれました。 歯ブラシの動かし方は問題なかったので、当てる位置を気を付けてもらうようにお伝えし、実際にやってもらうと上手にできました。 そして1週間後…Sさんのお口の中は、驚くほど改善されていました。 「歯みがきやってる?」と聞くまでもないくらい、目に見えて良くなっていました(#^.^#) また2週間後…歯ぐきは一層引き締まり、歯ぐきの中に隠れていた歯石が出てきたので、その日はそちらを除去しました。 ブラッシング指導後 Sさんご自身も良くなっているのがわかり、自然に笑顔も出てくるようになりました。 歯みがきはこのまま続けてもらうようお話しました。 以前ブログでもご紹介した『思春期性歯肉炎』は、歯みがきでこんなにも改善されるのです。 歯ぐきから出血が起きて困っている中高生のみなさん、是非来院してブラッシング指導を受けましょう!
[`evernote` not found]